文字サイズ

やさしいブラウザ・クラウド版はこちらからご利用下さい
案内を閉じる お使いのブラウザ(IE)はサポートされておりません。Edge、Chromeからの閲覧を推奨しています。

検体検査

spe1

検体検査は、血液や尿などの検体で検査します。
病気の診断とその経過や重症度を判定するのに利用されています。
検査は、最新の自動分析器や専門技術を使用し正確で迅速に行っています。 救急患者などの際、検体検査は24時間すべての検査に関して緊急対応をしています。(病理・一般・細菌の一部を除く)

生化学検査

ALT、AST、γGTPなどの肝機能・腎機能検査をしています。

また血糖、HbA1cなど糖尿病関連の検査もしています。

sec1
s1c2

免疫検査

腫瘍マーカー、感染症などの免疫学的検査をします。

血液検査

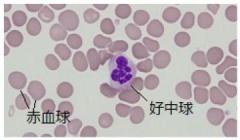
赤血球数、白血球分類、凝固因子、出血傾向など血球の成分、数、機能の検査をします。

sec3
血液の顕微鏡写真

輸血検査

ABO、Rh型、不規則抗体検査、血液型などの検査をします。

spe2

受付・外来採血

検査のための採血と検体受付をします。

一般検査

尿検査、便検査などをします。

sec5
尿の顕微鏡写真
sec6